胆囊超声检查应在禁食8小时后进行,以保证胆囊及胆管内充盈胆汁,并减少胃肠的内容物和气体的干扰。
特别注意:通常在前一日晚餐后开始禁食,次日上午空腹检查为宜。尽可能前一天不要吃消化不良的食物!
患者应采取仰卧位或左侧卧位,必要时可采用胸膝卧位或站立位,以便于检查胆囊所有部位并可显示移动的胆囊腔内容物
正常胆囊壁光滑、较薄,厚度通常<3 mm。不同病理条件下,胆囊壁的增厚程度差异较大。

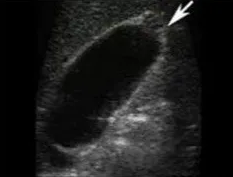
图1,胆囊炎
急性期炎性细胞浸润,组织水肿,超声表现为胆囊增大,胆囊壁增厚,腔内胆汁黏稠,胆囊内透声差,有时可有强回声团,伴声影,也就是伴有胆囊结石,往往嵌顿于胆囊颈管部,胆囊壁可因增厚呈“双边影”改变。
慢性胆囊炎的超声检查表现有胆囊壁增厚、形态缩小或者变形,也可以伴有胆囊结石或(及)胆囊息肉样病变。胆囊炎一般伴有胆囊息肉或者胆结石情况发生。

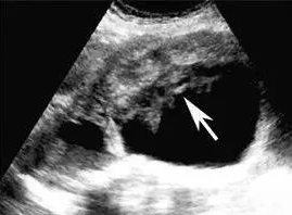
图2,腺肌增生症
腺肌增生症一般是胆囊壁的一种非炎症也非肿瘤性的良性病变。
超声表现为胆囊壁增厚,可呈弥漫型、节段型或是底部的局限增厚隆起。
其中底部出现腺肌增生症比较常见。

图3,非典型胆囊壁厚。
一般是低蛋白血症患者。其中尤以肝硬化腹水者表现得更为显著,胆囊壁因水肿而弥漫增厚。急性肝炎、右心衰竭、肾脏疾病、多发性骨髓瘤亦可见胆囊壁增厚。

图4,胆囊癌。
超声检查能清晰的显示肝胆系统,直接显示胆囊壁的增厚和胆囊腔内的肿块以及肝脏和淋巴结的转移灶。被临床公认为诊断胆囊癌的首选检查方法。
胆囊癌的声像图可分为5型:小结节型、蕈伞型、厚壁型、混合型和实块型,其中厚壁型胆囊癌的囊壁呈现不均匀增厚,可以是局限型或是弥漫型,后者往往以颈部、体部增厚显著,内壁线多不规则。需与慢性胆囊炎所致的囊壁增厚鉴别。
胆囊癌引起的胆囊壁增厚,需要尽早手术切除,然后根据病情判断是否需要化疗。
来源:上海市第一人民医院超声医学科

微信扫一扫,打赏作者吧~